Technologies:
Ultra-High Gradient Performance

With the highest amplitude available, the exceptional 100mT/m & 200 T/m/s will unlock higher SNR for neuroimaging, enabling new applications for neuroscience exploration. Excellent homogeneity and large FOV provide a solid foundation for any research application.
High-density RF Channels

The high channel-count RF receiver architecture enables the full use of high-density surface coil arrays, thus significantly increasing image Signal-to-Noise Ratio. The dedicated neuroimaging coil complements the gradient performance for cutting-edge fMRI and DTI.
uCS Platform

The uCS platform enables efficient application of compressed sensing for clinical routines. The next-generation uCS imaging technology combines compressed sensing with the advantages of acceleration technologies from previous generations.
- uCS Imaging Technology
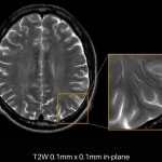
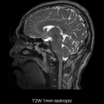
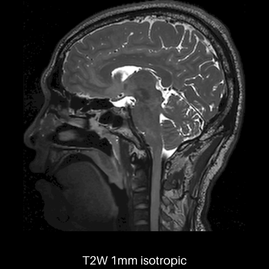
uCS combines the strengths of conventional acceleration technologies and innovative compressed sensing, breaking through the limits of both speed and resolution with a maximum 36x acceleration and and high, sub-millimeter isotropic spatial resolution. - uCS Processing Engine
uCS Processing Engine is a high-performance computing hardware including memory, data network and premier CPU. The outstanding computational power is further complemented by a series of intelligent algorithms for ultrafast reconstruction.






