Technologies
High-Resolution Digital PET
The integrated light guide digital detectors inside the uMI 780 consist of silicon photomultipliers (SiPMs) and fine 2.76 mm lutetium-yttrium oxyorthosilicate (LYSO) crystals. This provides exceptional image quality with 2.9 mm NEMA resolution that improves quantitative accuracy and small lesion detectability.

160-Slice Ultra-Fast CT
The Z-Detector reduces electronic noise down to a single photon level and the fully integrated design shortens the signal transmission length from centimeter to micron scale, resulting in tremendous electronic noise reduction and efficient X-ray utilization. Utilizing 74,880 elements and a 0.5 mm individual element size allows for highly detailed images, while the fast rotation speed of the system improves cardiac scan quality and allows low-dose data acquisition.

30 cm Axial Field of View (FOV)
The 30 cm axial PET FOV enables complete coverage of organs without image stitching, such as full cerebrospinal coverage or full lung coverage. uMI 780 is able to complete a skull base to mid-thigh scan in only three bed positions for a fast and comfortable patient experience.

Advanced Technologies
The uMI 780 offers solutions tailored to our customer's needs and may coitain technologies such as TOF, PSF, head movement correction, correction of artifacts derived from metal implants and prospective and retrospective respiratory gating which expand clinical prospects for every practice.

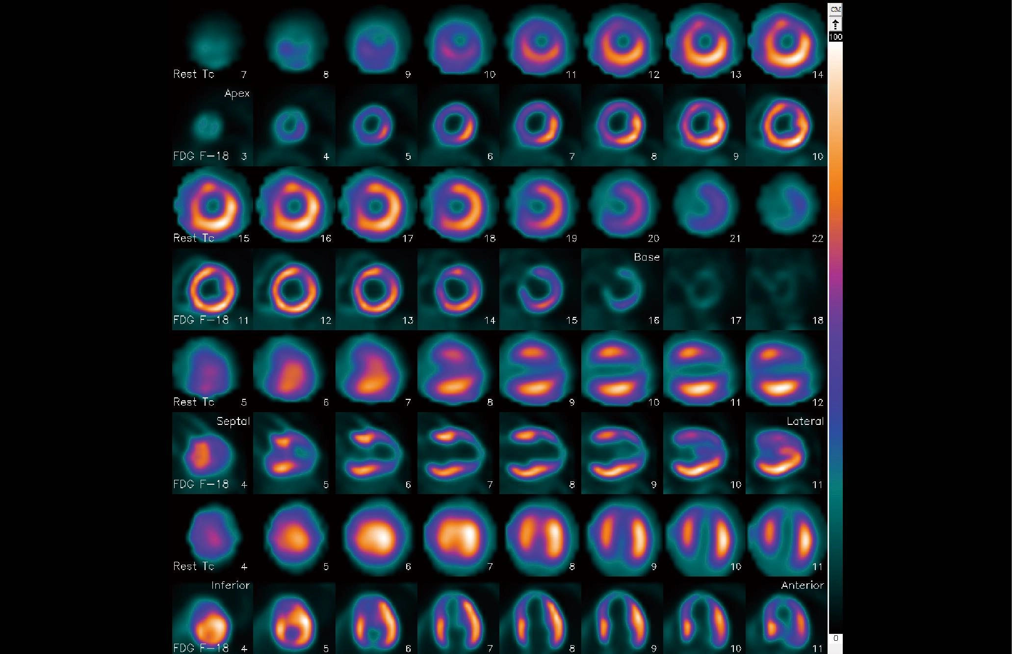
Clarity for imaging - Full Field of View Resolution

- Clarity
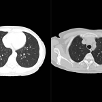
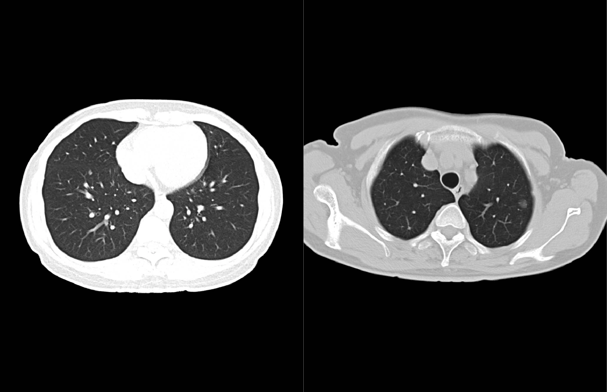
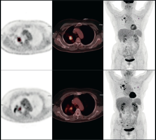
2.9 mm ultra-high NEMA PET resolution improves quantitative accuracy and small lesion detection - Sensitivity
16 cps/kBq high system sensitivity boosts data acquisition and enables low-dose PET scans - Speed
30 cm axial FOV for full organ coverage

























